$99 New Patient Special*
Includes Exam & X-Ray
*Restrictions may apply
GENERAL DENTISTRY IN SAN JOSE, CA
Your Trusted San Jose Dentist for Routine Checkups & Cleanings
At San Jose Dental Studio, we believe that a healthy smile is the foundation of your overall well-being. Whether you're coming in for a routine checkup, professional cleaning, or preventive care, our team is here to provide top-notch, affordable dental services that will keep your smile shining for years to come.
As your trusted dentist in San Jose, we offer comprehensive general dentistry services designed to maintain the health of your teeth, gums, and mouth, ensuring a lifetime of good oral health.
Why Choose San Jose Dental Studio for Your General Dentistry Needs?
General dentistry plays a crucial role in preventing dental problems and maintaining optimal oral health. Regular checkups and cleanings are essential to catch any issues early and prevent costly treatments down the line. At San Jose Dental Studio, we provide a variety of general dentistry services to meet the needs of every patient.
GENERAL, COSMETIC, AND IMPLANT DENTISTRY
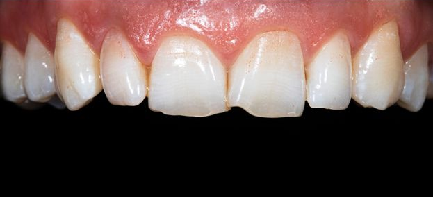
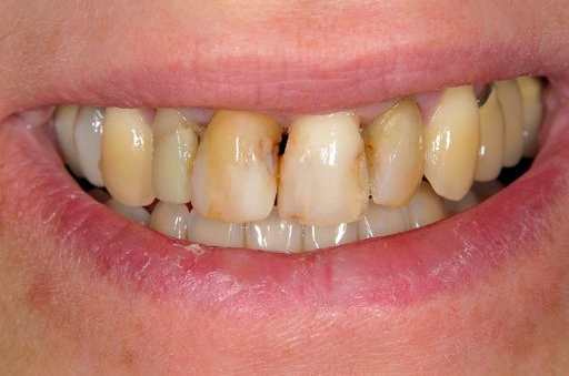
SMILE GALLERY


Our General Dentistry Services Include:
Routine Dental Exams & Cleanings
Professional cleanings and exams are the foundation of good oral health. Our cleanings remove plaque and tartar buildup, while our exams help us detect any potential issues early.
Digital X-Rays
We use the latest digital X-ray technology, which reduces radiation exposure and gives us a clear view of your oral health to catch hidden problems like cavities or infections.
Preventive Care
We provide fluoride treatments and dental sealants to protect your teeth from cavities and decay, ensuring your smile stays healthy for the long term.
Oral Cancer Screenings
Oral cancer is often difficult to detect without a professional exam. We conduct thorough screenings during your checkups to ensure early detection and better treatment outcomes.
Restorative Dentistry
If you have cavities, cracked teeth, or need restorative treatment, we offer fillings, crowns, and other services to restore the function and appearance of your teeth.
Periodontal Care
Healthy gums are key to a healthy smile. We offer deep cleanings and treatments for gum disease to keep your gums strong and free of infection.
What to Expect During Your General Dentistry Visit
When you visit San Jose Dental Studio, you can expect a comfortable, welcoming environment and personalized care. Here's what happens during your appointment:
Comprehensive Exam
We’ll perform a thorough examination of your teeth, gums, and overall oral health. This includes checking for cavities, gum disease, and signs of other dental conditions.
Professional Teeth Cleaning
After the exam, we’ll clean your teeth to remove plaque and tartar, leaving your mouth feeling fresh and healthy.
Customized Treatment Plan
If any issues are found, we'll discuss treatment options and create a plan tailored to your needs. Whether you need a filling, root canal, or just preventive care, we’ll guide you through the process.
How Often Should You Visit for General Dentistry?
We recommend visiting us every 6 months for a routine checkup and cleaning. This schedule allows us to monitor your oral health and prevent problems before they become major issues. If you have specific concerns or need more frequent visits, we’ll work with you to develop a plan that fits your needs.
Why Regular Dental Visits Matter
Routine dental visits help keep your smile healthy and prevent serious issues from developing. The benefits of regular checkups and cleanings include:
Early Detection of Dental Issues
Regular visits allow us to spot early signs of cavities, gum disease, and other dental issues before they become more serious.
Maintaining Optimal Oral Health
Preventive care is the most effective way to avoid costly and painful dental treatments in the future.
Improved Overall Health
Oral health is linked to your overall health. Regular visits to your dentist help keep your mouth healthy and may reduce your risk for heart disease, diabetes, and other health conditions.
Frequently Asked Questions (FAQ)
1. How often should I visit the dentist for a checkup?
We recommend visiting every 6 months for a routine exam and cleaning. If you have specific dental concerns or need more frequent care, we’ll tailor a plan to your needs.
2. What is included in a routine dental checkup?
A routine checkup includes a thorough exam, digital X-rays if necessary, a professional cleaning, and an oral cancer screening. We’ll also discuss any treatment needs based on your oral health.
3. Do you accept PPO insurance?
Yes, we accept all PPO insurances and work with you to maximize your benefits. We’ll explain your coverage options before any treatment begins.
4. How can I maintain healthy teeth between checkups?
Brushing at least twice a day, flossing daily, eating a balanced diet, and visiting your dentist regularly are key to maintaining optimal oral health.
5. What are the benefits of fluoride treatments and dental sealants?
Fluoride strengthens your teeth and helps prevent cavities, while dental sealants protect your back teeth from decay by providing a protective coating.
CONTACT US
Start Your Healthier Smile Today
At San Jose Dental Studio, we’re committed to providing high-quality general dentistry services to keep your smile healthy, bright, and beautiful. Whether you need a routine checkup or restorative care, our experienced team is here to help you maintain a lifetime of good oral health.
Ready to schedule your appointment?
